Natasha Ruddock

Natasha Ruddock

Monday, 10 July 2017 17:59
Article written by Dr. Don Colbert. Dr Colbert graduated from Oral Roberts Medical School in 1984. Dr. Colbert has practiced medicine in Central Florida and has been board certified in Family Practice for…
Monday, 10 July 2017 17:22
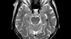
A Sheffield man has mystified the medical profession following the miraculous healing of a huge tumor on his face. Ken Gorman suffered excruciating pain after a small lump, discovered at the end of…
Thursday, 06 July 2017 16:09
Jane Holloway the National Prayer Director at World Prayer Centre gives her unique perspective on prayer and mission flowing together and God is moving. In this year of the extraordinary and prophetic promise…
Thursday, 06 July 2017 15:19
Last week, I was at a city prayer breakfast for the business community. One of the speakers had run London Underground, where he would get regular night time calls about potential terrorist threats…
Monday, 03 July 2017 16:46
Steve Botham shares some feedback from Alistair Petrie's recent visit to the UK for the 'Healing the Land' tour.  Alistair and Marie Petrie, along with the World Prayer Centre team travelled across the…
Wednesday, 28 June 2017 10:10
There is an escalation of turbulence across the globe, evidenced in a series of significant events. We are particularly aware of this in the UK having suffered two terrorist attacks in London, one…
Wednesday, 28 June 2017 10:03
The summer holidays are almost upon us, heralding the start of a wide range of Christian activities involving our young folk across Scotland. There are 25 Scripture Union holiday clubs and missions planned…
Wednesday, 21 June 2017 16:59
Across the nation people are saying “It is time to pray.” No wonder we have been rapidly plunged into a time of confusion and uncertainty. Terrorism has created fear and suspicion and we…
Wednesday, 21 June 2017 16:49
Like so many of us at this time I have been asking the Lord, "Why are these horrific violent, deadly and disastrous things happening in our nation?" I believe the Lord has shown…
Wednesday, 14 June 2017 13:42
We are hearing amazing stories coming out of the Middle East about how Jesus is at work in visions, signs and wonders!  Watch this true story of an ISIS 'Prince' who found salvation…
Page 8 of 25